Áñ°Üã±âÃß°¡2026.04.22 ±â»óûGO

Çѱ¹ ¹æ¹® Áß±¹ÀÎµé ¡°¡®¼¿ïº´¡¯ °É·È´Ù¡± ¿À¿¡¦¿Ô´Ù °¡¸é ¹«Á¶°Ç °É¸°´Ù´Âµ¥
¿øº»º¸±âÇÑ Áß±¹Àμ¿ï½Å¹®±¸µ¶ÁÖ¿ä´º½ºÀ̽´Á¤Ä¡»çȸ¼¼°è°æÁ¦»ýȰITŬ¸³½Å¹®º¸±â»ç¼³/Ä®·³»ýÁß°è·©Å·PICK ¾È³»Çѱ¹ ¹æ¹® Áß...

È«ÁØÇ¥ ¡°10¸¸ ½ÅõÁö ±¹Èû ÀÔ´ç...±³ÁÖ°¡ ëÅ µ½´Â´Ù´õ¶ó¡±
È«ÁØÇ¥ Àü ´ë±¸½ÃÀåÀº 2021³â ´ë¼± ±¹¹ÎÀÇÈû °æ¼± ´ç½Ã ÀÌ´Ü ½ÅõÁö ½Åµµ 10¿©¸¸¸íÀÌ ±¹¹ÎÀÇÈû ´ç¿øÀ¸·Î °¡ÀÔÇØ À±¼®¿ È常¦ ...

ì°´ëÅë·É, 8¿ù 15ÀÏ ±¤º¹Àý Çà»ç¼ ¡®±¹¹Î ÀÓ¸í½Ä¡¯
¿øº»º¸±âÀÌÀç¸í ½ÅÀÓ ´ëÅë·ÉÀÌ 4ÀÏ ¼¿ï ¿©Àǵµ ±¹È¸ ·ÎÅÙ´õȦ¿¡¼ ¿¸° ¾à½Ä ÃëÀӽĿ¡¼ ¿¬¼³ µµÁß ¹Ú¼ö¸¦ ¹Þ°í ÀÖ´Ù. &nb...

2¾ï ºô·Á°¡´õ´Ï ¿¬¶ô µÎÀý... ÀÌ·± ÀÚ½Ä ¾î¶»°Ô ÇØ¾ßÇϳª¿ä
¡°ÁýÀ» ÀÌ»çÇÏ°í ´ëÃâ °±°í ¾Öµé Çкñµµ ³»·Á¸é µ·ÀÌ ÇÊ¿äÇÏ´Ù°í ÇØ¼ ¾ÆµéÇÑÅ× 2¾ï¿øÀ» ºô·ÁÁá¾î¿ä. ±×·±µ¥ ÀÌÁ¦ ¿ì¸®°¡ ...
¼Ò³ª¹«Àç¼±Ãæº´ ¼¿ï ³²»ê¼ ù È®ÀΡ¦±ä±Þ¹æÁ¦(Á¾ÇÕ)
¼Ò³ª¹«Àç¼±Ãæº´ ¼¿ï ³²»ê¼ ù È®ÀΡ¦±ä±Þ¹æÁ¦(Á¾ÇÕ) (¼¿ï=¿¬ÇÕ´º½º) ȲÈñ°æ ±âÀÚ = ¼Ò³ª¹« Àç¼±Ãæ(î§àÊõù)º´¿¡ °É¸° ¼Ò³ª¹« 1ÁÖ°¡ ¼¿ï½Ã ¿ë»ê±¸ ³²»ê¿¡¼ ¹ß°ßµÅ ½Ã ´ç±¹ÀÌ 17ÀÏ ±ä±Þ¹æÁ¦¿¡ ³ª¼¹´Ù. '...
»çȸ | 04-17 11:36
Áö¹æ ÀÇ´ë¿¡ Áö¿ª °í±³»ý 40% ÀÔÇС¦Áö¿ªÀÎÀçÀüÇü È¿°ú
Áö¹æ ÀÇ´ë¿¡ Áö¿ª °í±³»ý 40% ÀÔÇС¦Áö¿ªÀÎÀçÀüÇü È¿°ú 'Áö¹æ´ë À°¼º¹ý' ù ½ÃÇà °á°ú¡¦±³À°ºÎ "´Ù¸¥ Çаú¿¡µµ ¼±¹ß È®´ë" (¼¼Á¾=¿¬ÇÕ´º½º) ¹Úâ¿í ±âÀÚ = Áö¹æ´ë À°¼º¹ý¿¡ µû¶ó 2015Çг⵵¿¡ óÀ½ ½ÃÇàµÈ Áö¿ª...
»çȸ | 04-17 11:33
±¹Á¦±¸È£´Üü, ºÏÇѼ 4¾ï5õ¸¸¿ø ±Ô¸ð Àç³´ëºñ »ç¾÷
±¹Á¦±¸È£´Üü, ºÏÇѼ 4¾ï5õ¸¸¿ø ±Ô¸ð Àç³´ëºñ »ç¾÷ (¼¿ï=¿¬ÇÕ´º½º) ÀÓÀºÁø ±âÀÚ = ±¹Á¦ ±¸È£´Üü°¡ ºÏÇÑ¿¡¼ ÀÚ¿¬ÀçÇØ·Î ÀÎÇÑ ÁֹΠÇÇÇØ¸¦ ÁÙÀÌ´Â »ç¾÷À» ¹úÀ̰í ÀÖ´Ù. 17ÀÏ ¹Ì±¹ÀǼҸ®(VOA) ¹æ¼Û¿¡ µû...
»çȸ | 04-17 11:33
ÁßÇлý µµµÏ ¸ô¾Æ µ· »©¾ÑÀº ¸øµÈ ´ëÇлý 2¸í ±¸¼Ó
ÁßÇлý µµµÏ ¸ô¾Æ µ· »©¾ÑÀº ¸øµÈ ´ëÇлý 2¸í ±¸¼Ó "°¡¹æ ¾È ±Ý¸ñ°ÉÀÌ ¾ø¾îÁ³´Ù"Çù¹Ú¡¦8¸í¿¡°Ô 530¸¸¿ø ¶â¾î (±¸¹Ì=¿¬ÇÕ´º½º) ¼Õ´ë¼º ±âÀÚ = °æºÏ ±¸¹Ì°æÂû¼´Â 17ÀÏ ÁßÇлýµéÀ» µµµÏÀ¸·Î ¸ô¾Æ ±ÝǰÀ» »©¾ÑÀº ...
»çȸ | 04-17 11:31
"°ø°ø±â°ü Á¤»óÈ ÀúÁö" ÇѳëÃÑ ¾ç´ë °ø°ø³ëÁ¶ ÅëÇÕ ¼±¾ð
"°ø°ø±â°ü Á¤»óÈ ÀúÁö" ÇѳëÃÑ ¾ç´ë °ø°ø³ëÁ¶ ÅëÇÕ ¼±¾ð (¼¿ï=¿¬ÇÕ´º½º) ¾È½Â¼· ±âÀÚ = Çѱ¹³ëÃÑ ¼Ò¼Ó Àü±¹°ø°ø³ëµ¿Á¶ÇÕ¿¬¸Í(°ø°ø¿¬¸Í)°ú Àü±¹°ø°ø»ê¾÷³ëµ¿Á¶ÇÕ¿¬¸Í(°ø°ø³ë·Ã)Àº 17ÀÏ ¼¿ï ¿©Àǵµ Çѱ¹³ëÃÑ¿¡...
»çȸ | 04-17 11:24
ÇѰ»ç¶û ÀÚÀü°Å ¾ÈÀü ÁöÅ´ÀÌ ¹ß´ë½Ä
ÇѰ»ç¶û ÀÚÀü°Å ¾ÈÀü ÁöÅ´ÀÌ ¹ß´ë½Ä (¼¿ï=¿¬ÇÕ´º½º) ȲÈñ°æ ±âÀÚ = ¼¿ï½Ã´Â 17ÀÏ ¿ÀÈÄ ÇѰ»ç¾÷º»ºÎ¿¡¼ 'ÇѰ»ç¶û ÀÚÀü°Å ¾ÈÀü ÁöÅ´ÀÌ' ¹ß´ë½ÄÀ» ¿¬´Ù. ¾ÈÀü ÁöÅ´ÀÌ´Â ÇѰ°ø¿ø ³» ¾ÈÀüÇÑ ÀÚÀü°Å Ÿ±â ...
»çȸ | 04-17 11:18
<ÁÖ¸»¿¡ °¡º¼ ¸¸ÇÑ °÷: È£³²±Ç>
ÁÖ¸» ºñ ÃÖ°í 40mm ¾ÈÆÆ¡¦'¸¶À½ Àû½Ã´Â' ¿¹¼ú ÀÛǰÀ» ¸¸³ª´Ù (±¤ÁÖ=¿¬ÇÕ´º½º) À徯¸§ ±âÀÚ = 4¿ù ¼Â° ÁÖ¸»ÀÎ 18~19ÀÏ È£³²Áö¿ªÀº ÃÖ°í 40mm ¾ÈÆÆÀÇ ºñ°¡ ³»¸®°Ú´Ù. À̹ø ÁÖ¸» ½Ç³» Àü½Ã °ø°£»Ó ¾Æ´Ï¶ó ...
»çȸ | 04-17 11:09
'¼Ò³ª¹« ¿¡ÀÌÁî' Àç¼±Ãæº´ ¼¿ï ³²»ê¼ È®ÀΡ¦±ä±Þ¹æÁ¦
'¼Ò³ª¹« ¿¡ÀÌÁî' Àç¼±Ãæº´ ¼¿ï ³²»ê¼ È®ÀΡ¦±ä±Þ¹æÁ¦ (¼¿ï=¿¬ÇÕ´º½º) ȲÈñ°æ ±âÀÚ = '¼Ò³ª¹« ¿¡ÀÌÁî'¶ó ºÒ¸®´Â Àç¼±Ãæ(î§àÊõù)º´¿¡ °É¸° ¼Ò³ª¹« 1ÁÖ°¡ ¼¿ï½Ã ¿ë»ê±¸ ³²»ê¿¡¼ ¹ß°ßµÅ ½Ã ´ç±¹ÀÌ 17ÀÏ ±ä±Þ¹æ...
»çȸ | 04-17 11:09
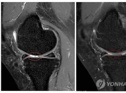
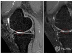
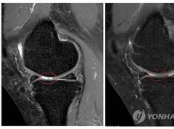
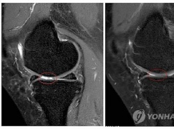
"ÀÚ°¡Áö¹æ¼¼Æ÷ À̽Ä, ÅðÇ༺°üÀý¿°¿¡ È¿°ú"
"ÀÚ°¡Áö¹æ¼¼Æ÷ À̽Ä, ÅðÇ༺°üÀý¿°¿¡ È¿°ú" (¼¿ï=¿¬ÇÕ´º½º) ÇѼº°£ ±âÀÚ = ÀÚ½ÅÀÇ Áö¹æÁ¶Á÷¿¡¼ äÃëÇÑ ÀÚ°¡Áö¹æ¼¼Æ÷ À̽ÄÀÌ ÅðÇ༺ °üÀý¿° Ä¡·á¿¡ È¿°ú°¡ ÀÖ´Ù´Â ¿¬±¸°á°ú°¡ ³ª¿Ô´Ù. ¼¼Æ÷Ä¡·á¡¤¸é¿ª¿ä¹ý ...
»çȸ | 04-17 11:09
<ÁÖ¸»¿¡ °¡º¼ ¸¸ÇÑ °÷: ÃæÃ»±Ç>
ÀÏ¿äÀÏ È帮°í ºñ¡¦Å¾ȿ£ 'Æ«¸³ Ȱ¦', ¼ö¾Èº¸¿£ '¿Âõ ÃàÁ¦' (´ëÀü¡¤Ã»ÁÖ=¿¬ÇÕ´º½º) ±èÇü¿ì ±è¼Ò¿¬ ±âÀÚ = 4¿ù ¼¼ ¹øÂ° ÁÖ¸»ÀÎ 18~19ÀÏ ÃæÃ»±ÇÀº ±¸¸§ÀÌ ¸¹ÀÌ ³¢´Ù°¡ ÀÏ¿äÀÏ¿¡ ºñ°¡ ¿À°Ú´Ù. 'ÅÂ¾È Æ«¸³Ãà...
»çȸ | 04-17 11:03
¡®Èæ¹é¿ä¸®»ç¡¯ ¿ì½ÂÀÚ ±Ç¼ºÁØ ¼ÎÇÁ°¡ ¿ä¸® ¿µÀ縦 ½É»çÇÑ´Ù. 25ÀÏ SBS ...
¹ÚÁø¿µ JYP¿£ÅÍÅ×ÀÎ¸ÕÆ® ´ëÇ¥ ÇÁ·Îµà¼°¡ 9ÀÏ ´ëÅë·É Á÷¼Ó ´ëÁß¹®È±³·ù...
°¡¼ö À¯½ÂÁØ(48¡¤¹Ì±¹ À̸§ ½ºÆ¼ºê ½ÂÁØ À¯)¾¾ÀÇ ºñÀÚ ¹ß±ÞÀ» µÑ·¯½Ñ ¼¼ ¹øÂ°...
±×·ì ¹æÅº¼Ò³â´Ü(BTS) ¸â¹ö Àü¿øÀÇ ±º º¹¹« Á¾·á¿Í Àç°áÇÕ¿¡ ¿Ü...
ȸ»ñµ· 43¾ï¿øÀ» Ⱦ·ÉÇÑ ÇøÀÇ·Î ±â¼ÒµÈ ¹è¿ì ȲÁ¤À½ÀÌ Àç»êÀ» óºÐÇØ ...
»óÈ£: ¿µ³²¸ÅÀϽŹ®(ÁÖ) | »ç¾÷ÀÚµî·Ï¹øÈ£: 506-81-85807 | ´ëÇ¥: °È£¼º | ½Å¹®µî·Ï¹øÈ£ : ºÎ»ê °¡00021 / ÀÎÅͳݽŹ®µî·Ï¹øÈ£ : ºÎ»ê, ¾Æ00272
ÀüÈ: 051-867-3909 | ÆÑ½º: 051-861-3463 | ÁÖ¼Ò: ºÎ»ê±¤¿ª½Ã ¿¬Á¦±¸ Áß¾Ó´ë·Î 1111, 1701È£ (¿¬»êµ¿, À§µåŸ¿ö)
copyright ¨Ï 2015 newsyn.co.kr All right reserved. | web@newsyn.co.kr