Áñ°Üã±âÃß°¡2025.12.24 ±â»óûGO

"½Å¶ó±Ý°ü Àß Ã¬°Ü" Æ®·³ÇÁ, ¹Ì±¹ µ¹¾Æ°¡¼± "Çѱ¹ÀÌ ¿ì¸® Á¸Áß"
µµ³Îµå Æ®·³ÇÁ ¹Ì±¹ ´ëÅë·ÉÀÌ ¾Æ½Ã¾Æ ¼ø¹æ ±â°£ Çѱ¹°ú Áß±¹, ÀϺ» µî 3°³±¹ Á¤»ó°ú ¸¸³ª ȸ´ãÇÑ µ¥ ´ëÇØ "¹ÏÀ» ¼ö ¾øÀ» Á¤µµ·Î ...

Æ®·³ÇÁ Á¾ÀÌ ³»¹ÐÀÚ »§ÅÍÁø ½ÃÁøÇΡ¦¹«½¼ ¹®±¸±æ·¡
¿øº»º¸±âÁö³ 30ÀÏ ºÎ»ê ±èÇØ±¹Á¦°øÇ× ¼ÒÀç ±èÇØ°ø±º±âÁö ³» Á¢°ßÀåÀÎ ³ª·¡¸¶·ç¿¡¼ ¿¸° ¹Ì-Áß ¾çÀÚ Á¤»óȸ´ã¿¡¼ µµ³Îµå Æ®·³...

15¸¸ ÀüÀÚ °£´Ù? Á¨½¼È² ¡°ÆÄÆ®³Ê¡± Á¡ÂïÀº »ï¼º ¸ñÇ¥ÁÖ°¡¡è
¿øº»º¸±âÁ¨½¼ Ȳ ¿£ºñµð¾Æ ÃÖ°í°æ¿µÀÚ(CEO)¿Í ÀÌÀç¿ë »ï¼ºÀüÀÚ È¸ÀåÀÌ Áö³ 30ÀÏ ¼¿ï °³²±¸ ÄÚ¿¢½º¿¡¼ ¿¸° ¿£ºñµð¾Æ ...

¡°Ä¡Å² ÇÑ ¸¶¸® °ªÀ¸·Î ¡®300¾ï¡¯ ¹ú¾ú´Ù°í¿ä?¡±
¡°Ä¡¸Æ ÇÑ ÀÜ¿¡ 300¾ïÂ¥¸® ±¤°í¡±¡¦¿£ºñµð¾Æ Á¨½¼ ȲÀÇ ¡®±ñºÎ ȸµ¿¡¯, K-ºê·£µå°¡ ¿ô¾ú´ÙġŲ¡¤¼Ò¸Æ¡¤È«»ï±îÁö ¼¼°è CEOµéÀÇ ÇÑ...
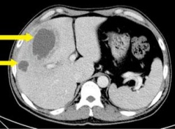
"°£¿¡ °í¸§Â÷´Â '°£³ó¾ç' Áõ°¡¼¼¡¦´ç´¢¡¤°í·ÉÀÌ ¿äÀÎ"
"°£¿¡ °í¸§Â÷´Â '°£³ó¾ç' Áõ°¡¼¼¡¦´ç´¢¡¤°í·ÉÀÌ ¿äÀÎ" °µ¿°æÈñ´ëº´¿ø ºÐ¼®°á°ú, ¿¹¹æ¹ý ¾ø¾î Á¶±â¹ß°ßÀÌ ÃÖ¼± (¼¿ï=¿¬ÇÕ´º½º) ±è±æ¿ø ±âÀÚ = ´ç´¢º´ ¹× °í·ÉÀα¸ Áõ°¡¿Í °ü·Ã¼ºÀÌ Å« 'È³ó¼º °£³ó¾ç' ȯÀÚ°¡...
»çȸ | 03-31 11:48
±è¹®¼ö "À¯¿£ ºÏÇÑÀαǻ繫¼Ò, Áß±¹ Àαǵµ ´Ù·ï¾ß"(Á¾ÇÕ)
±è¹®¼ö "À¯¿£ ºÏÇÑÀαǻ繫¼Ò, Áß±¹ Àαǵµ ´Ù·ï¾ß"(Á¾ÇÕ) (¼¿ï=¿¬ÇÕ´º½º) ÀÌ¿µÀç ±âÀÚ = ±è¹®¼ö »õ´©¸®´ç º¸¼öÇõ½ÅÀ§¿øÀåÀº 31ÀÏ ¼¿ï¿¡ ¹®À» ¿ À¯¿£ ºÏÇÑÀ뱂 ÇöÀå»ç¹«¼Ò°¡ ºÏÇÑ»Ó ¾Æ´Ï¶ó Áß±¹°ú ·¯½Ã¾ÆÀÇ ...
| 03-31 11:48
<Àλç> ´ëÇÑ»ó°øÈ¸ÀǼÒ
´ëÇÑ»ó°øÈ¸ÀÇ¼Ò ¡Þ ºÎÀå ¡ã À¯Åë»ê¾÷ÆÀÀå ¾ö¼º¿ë ¡ã °¨»ç½Ç À±ÀÇÁø ¡ã ÀλçÆÀÀå Áø´ö¿ë ¡ã ¹Î°üÇÕµ¿±ÔÁ¦°³¼±ÃßÁø´Ü ÅõÀÚȯ°æ°³¼±ÆÀÀå Ȳµ¿¾ð ¡ã °¨»ç½ÇÀå ¿ÀÁÖ¿ø ¡ã ±âȹÆÀÀå ¹ÚÀç±Ù ¡ã...
±³À° | 03-31 11:48
µ¹¾Æ¿Â ²É°Ôö¡¦´ëÇü¸¶Æ® '²É°Ô ÇÒÀÎÀüÀï' ¸·¿Ã¶ó
µ¹¾Æ¿Â ²É°Ôö¡¦´ëÇü¸¶Æ® '²É°Ô ÇÒÀÎÀüÀï' ¸·¿Ã¶ó (¼¿ï=¿¬ÇÕ´º½º) ±è¾Æ¶÷ ±âÀÚ = ²É°Ô öÀÌ ¿ÀÀÚ ´ëÇü¸¶Æ®°¡ '²É°Ô ÇÒÀÎ ÀüÀï'¿¡ µé¾î°¬´Ù. ¾÷°è°¡ ¼·Î ´«Ä¡¸¦ º¸¸ç ²É°Ô °ªÀ» ³»¸®´Â ÀüÀïÀÌ ²É°Ô ö¸¶´Ù...
±â¾÷/»ê¾÷ | 03-31 11:42
"´ë±â¾÷ ºñÁ¤±ÔÁ÷ ³í¶õ¿¡ ¸Å´Þ·Á Áß¼Ò±â¾÷ ¹®Á¦ ¼ÒȦ"
"´ë±â¾÷ ºñÁ¤±ÔÁ÷ ³í¶õ¿¡ ¸Å´Þ·Á Áß¼Ò±â¾÷ ¹®Á¦ ¼ÒȦ" ±èű⠳ë»çÁ¤À§¿ø ¼¿ï´ë °¿¬¡¦"ƯÁ¤Áý´Ü ¾Æ´Ñ ½Ã½ºÅÛ º¯Çؾß" (¼¿ï=¿¬ÇÕ´º½º) °íÀºÁö ±âÀÚ = ³ëµ¿½ÃÀåÀ» °³ÇõÇÒ ¶§ ºñÁ¤±ÔÁ÷ µî ƯÁ¤ À̽´¿¡ ¸Å´Þ¸®´Â...
»çȸ | 03-31 11:42
ÀϺ», AIIB Âü¿© ÀÏ´Ü º¸·ù¡¦Áß±¹ ¿µÇâ·Â È®´ë °æ°è
ÀϺ», AIIB Âü¿© ÀÏ´Ü º¸·ù¡¦Áß±¹ ¿µÇâ·Â È®´ë °æ°è (µµÄì=¿¬ÇÕ´º½º) ±è¿ë¼ö ƯÆÄ¿ø = ÀϺ» Á¤ºÎ´Â 31ÀÏ Áß±¹ÀÌ ÁÖµµÇÏ´Â ¾Æ½Ã¾ÆÀÎÇÁ¶óÅõÀÚÀºÇà(AIIB)¿¡ ⸳ ȸ¿ø±¹À¸·Î Âü¿©ÇÏÁö ¾Ê°Ú´Ù´Â ¹æÄ§À» ºÐ¸íÈ÷ Çß´Ù...
±³À° | 03-31 11:39
ºñ¸® ÃßÀû µµÇÇó·Î Ȱ¿ëµÈ '¹Ð½Ç'¡¦°á±¹¿£ ȱÙ
ºñ¸® ÃßÀû µµÇÇó·Î Ȱ¿ëµÈ '¹Ð½Ç'¡¦°á±¹¿£ ȱ٠±³È¸¡¤ÄÁÅ×À̳ʡ¤º°À塤»ç¹«½Ç µî ¼ö¹ýµµ ´Ù¾ç (¼¿ï=¿¬ÇÕ´º½º) ¾ÈÈñ ±âÀÚ = ¹æ»ê ºñ¸®ÀÇ ÁÖ¿ä ¼ö»ç ´ë»óÀÎ À̱ÔÅÂ(66¡¤±¸¼Ó) Àϱ¤°ø¿µ ȸÀåÀÌ ºñ¹Ð °ø°£¿¡ ¹æ...
»çȸ | 03-31 11:36
ºÎµ¿»ê114, ¸ð¹ÙÀÏ ¾Û °³Æí¡¦ÁöÇÏö ³ë¼±µµ·Îµµ °Ë»ö
ºÎµ¿»ê114, ¸ð¹ÙÀÏ ¾Û °³Æí¡¦ÁöÇÏö ³ë¼±µµ·Îµµ °Ë»ö (¼¿ï=¿¬ÇÕ´º½º) Á¤¼ºÈ£ ±âÀÚ = ºÎµ¿»ê114´Â ÃÖ±Ù 'ºÎµ¿»ê114 ¾Û(¾ÖÇø®ÄÉÀ̼Ç)'°ú '¹æÄÝ ¾Û'À» °³ÆíÇØ ¸ð¹ÙÀÏ ºÎµ¿»ê Ç÷§Æû Á¾ÇÕ¼ºñ½º ü°è¸¦ °®Ãè´Ù°í ...
ºÎµ¿»ê | 03-31 11:36
¼¿ï±³À°¿¬¼ö¿ø, »çÀ̹ö ³í¼ú±³½Ç ȨÆäÀÌÁö °³Åë
¼¿ï±³À°¿¬¼ö¿ø, »çÀ̹ö ³í¼ú±³½Ç ȨÆäÀÌÁö °³Åë (¼¿ï=¿¬ÇÕ´º½º) ¹ÚÀοµ ±âÀÚ = ¼¿ï½Ã±³À°Ã» »êÇÏ ±³À°¿¬¼ö¿øÀº »çÀ̹ö°¡Á¤ÇнÀ »çÀÌÆ® ²Ü¸À´åÄÄ(www.kkulmat.com)°ú ¿¬°èÇØ ³»´Þ 1ÀÏ ¿ÀÀü 9½Ã '2015 ²Ü¸À´å...
»çȸ | 03-31 11:33
¾ÆÇÁ¸®Ä« ³¹Î, 5³â ¸¸¿¡ ¼ºÃßÇà ´©¸í ¹þÀº »ç¿¬
¾ÆÇÁ¸®Ä« ³¹Î, 5³â ¸¸¿¡ ¼ºÃßÇà ´©¸í ¹þÀº »ç¿¬ ´ë¹ý, ¾ÆÇÁ¸®Ä«ÀÎ °Á¦ÃßÇà ÇøÀÇ ¹«ÁË È®Á¤ (¼¿ï=¿¬ÇÕ´º½º) ÇÑÁöÈÆ ±âÀÚ = ¾ÆÇÁ¸®Ä«ÀÎ A¾¾ ºÎÄ£Àº Çѱ¹ÀüÀï ÂüÀü¿ë»ç¿´´Ù. ±× ´öºÐ¿¡ A¾¾´Â 2010³â 10¿ù '±â...
»çȸ | 03-31 11:33
¹ÚÁø¿µ JYP¿£ÅÍÅ×ÀÎ¸ÕÆ® ´ëÇ¥ ÇÁ·Îµà¼°¡ 9ÀÏ ´ëÅë·É Á÷¼Ó ´ëÁß¹®È±³·ù...
°¡¼ö À¯½ÂÁØ(48¡¤¹Ì±¹ À̸§ ½ºÆ¼ºê ½ÂÁØ À¯)¾¾ÀÇ ºñÀÚ ¹ß±ÞÀ» µÑ·¯½Ñ ¼¼ ¹øÂ°...
±×·ì ¹æÅº¼Ò³â´Ü(BTS) ¸â¹ö Àü¿øÀÇ ±º º¹¹« Á¾·á¿Í Àç°áÇÕ¿¡ ¿Ü...
ȸ»ñµ· 43¾ï¿øÀ» Ⱦ·ÉÇÑ ÇøÀÇ·Î ±â¼ÒµÈ ¹è¿ì ȲÁ¤À½ÀÌ Àç»êÀ» óºÐÇØ ...
°æÂûÀÌ ½ÅûÇÑ ¹æ½ÃÇõ ÇÏÀ̺ê ÀÇÀåÀÇ ÀÚº»½ÃÀå¹ý À§¹Ý ÇøÀÇ¿Í °ü·ÃÇÑ ...
»óÈ£: ¿µ³²¸ÅÀϽŹ®(ÁÖ) | »ç¾÷ÀÚµî·Ï¹øÈ£: 506-81-85807 | ´ëÇ¥: °È£¼º | ½Å¹®µî·Ï¹øÈ£ : ºÎ»ê °¡00021 / ÀÎÅͳݽŹ®µî·Ï¹øÈ£ : ºÎ»ê, ¾Æ00272
ÀüÈ: 051-867-3909 | ÆÑ½º: 051-861-3463 | ÁÖ¼Ò: ºÎ»ê±¤¿ª½Ã ¿¬Á¦±¸ Áß¾Ó´ë·Î 1111, 1701È£ (¿¬»êµ¿, À§µåŸ¿ö)
copyright ¨Ï 2015 newsyn.co.kr All right reserved. | web@newsyn.co.kr