Áñ°Üã±âÃß°¡2026.03.02 ±â»óûGO

±Ý¡¤Àº Èçµé¸®ÀÚ ´ÙÀ½Â÷·Ê´Â¡¦"¹ÙÅë ³Ñ°Ü¹Þ¾Ò´Ù"
Äɺó ¿ö½Ã Àü ¿¬¹æÁغñÁ¦µµ(Fed¡¤¿¬ÁØ) ÀÌ»çÀÇ Â÷±â ¿¬ÁØÀÇÀå Áö¸í ¿©ÆÄ·Î ±Þ¶ôÇß´ø ±¹Á¦ ±Í±Ý¼Ó °¡°ÝÀÌ ¹Ýµî Á¶Áü...

'AI °øÆ÷' 3´ëÁö¼ö¡é...¿©ÇࡤºÎµ¿»ê ¾÷Á¾ Ÿ°Ý
1. Áõ½Ã Áß¿ä ´º½º1) ´º¿åÁõ½Ã, AI À§Çù¾÷Á¾ Åõ¸Å Áö¼Ó¿¡ Ç϶ô¡¦³ª½º´Ú 2%¡é- AI µµ±¸°¡ Àü¹® ±â¾÷¿ë ¼ÒÇÁÆ®¿þ¾î(SW...

"ÇÑ¿ì ´ë½Å ½Ñ¸À¿¡ Áñ°Ü ¸Ô¾ú´Âµ¥"¡¦¹Ì±¹»ê ¼Ò°í±âÀÇ ¹è½Å
¹Ì±¹ ¼Ò°í±â °¡°ÝÀÌ »ç»ó ÃÖ°í°¡¿¡ ±ÙÁ¢Çϰí ÀÖ´Ù. ¼Ò »çÀ° ¸¶¸´¼ö°¡ 75³â ¸¸¿¡ °¡Àå ÀûÀº ¼öÁرîÁö ¶³¾îÁ® °ø±Þ ºÎÁ·ÀÌ ±Ø½ÉÇØ...

"Á¶Á¤Àº ±âȸ´Ù"¡¦°ø°ÝÀû º£ÆÃ ³ª¼± ¼Çа³¹Ì
¹Ì±¹ Áõ½Ã°¡ ¿¬ÃÊ Á¶Á¤ È帧À» º¸ÀÌÀÚ ¼Çа³¹ÌµéÀÌ Àú°¡ ¸Å¼ö ±âȸ·Î ÆÇ´ÜÇÏ°í °ø°ÝÀûÀÎ º£ÆÃ¿¡ ³ª¼°í ÀÖ´Ù. ÀΰøÁö´É(A...
¼¿ïµµ¼°ü, ±è¼ºµµ ÀÛ°¡¿ÍÀÇ ¸¸³² Çà»ç °³ÃÖ
¼¿ïµµ¼°ü, ±è¼ºµµ ÀÛ°¡¿ÍÀÇ ¸¸³² Çà»ç °³ÃÖ (¼¿ï=¿¬ÇÕ´º½º) ÀÌÁ¤Çö ±âÀÚ = ¼¿ïµµ¼°üÀº 21ÀÏ 'µµ½ÃÀΰ£ÇÐ'ÀÇ ÀúÀÚ ±è¼ºµµ ÀÛ°¡¿ÍÀÇ ¸¸³² Çà»ç¸¦ ¿¬´Ù°í 17ÀÏ ¹àÇû´Ù. µµ½ÃÀΰ£ÇÐÀº Çѱ¹ ±âÈ£Çа踦 ´ë...
| 04-17 11:18
'¹°Æ÷·³ ¼º°ø' °æºÏ¡¦¹°»ê¾÷ ÇØ¿Ü½ÃÀå ÁøÃâ±â¹Ý È®´ë(Á¾ÇÕ)
'¹°Æ÷·³ ¼º°ø' °æºÏ¡¦¹°»ê¾÷ ÇØ¿Ü½ÃÀå ÁøÃâ±â¹Ý È®´ë(Á¾ÇÕ) ±Û·Î¹ú ±â¾÷°ú ÇÕÀÛ ÅõÀÚ ±â´ë¡¦3°³ ±Ç¿ªº° '¹°»ê¾÷ ƯÈ' (´ë±¸=¿¬ÇÕ´º½º) À̽ÂÇü ±âÀÚ = °æºÏµµ´Â 17ÀÏ Á¦7Â÷ ´ë±¸°æºÏ ¼¼°è¹°Æ÷·³À¸·Î µµ³» ¹°±â...
| 04-17 11:12
<¼îÇÎÁ¤º¸> ȨÇ÷¯½º ¾ÆÀ̽ºÇ÷£Æ®¡¤¹Ì´Ï¾ç¹èÃß ÀüÁ¡ ÆÇ¸Å
ȨÇ÷¯½º ¾ÆÀ̽ºÇ÷£Æ®¡¤¹Ì´Ï¾ç¹èÃß ÀüÁ¡ ÆÇ¸Å (¼¿ï=¿¬ÇÕ´º½º) ÀÌÀ¯¹Ì ±âÀÚ = ȨÇ÷¯½º°¡ ÀϺΠÁ¡Æ÷¿¡¼¸¸ ÆÇ¸ÅÇÏ´ø ±â´É¼º ä¼Ò ¾ÆÀ̽º Ç÷£Æ®¿Í ¹Ì´Ï ¾ç¹èÃ߸¦ ÀüÁ¡À¸·Î È®´ë ÆÇ¸ÅÇÑ´Ù°í 17ÀÏ ¹àÇû´Ù. ...
±³À° | 04-17 11:12
<ÁÖ¸»¿¡ °¡º¼ ¸¸ÇÑ °÷: È£³²±Ç>
ÁÖ¸» ºñ ÃÖ°í 40mm ¾ÈÆÆ¡¦'¸¶À½ Àû½Ã´Â' ¿¹¼ú ÀÛǰÀ» ¸¸³ª´Ù (±¤ÁÖ=¿¬ÇÕ´º½º) À徯¸§ ±âÀÚ = 4¿ù ¼Â° ÁÖ¸»ÀÎ 18~19ÀÏ È£³²Áö¿ªÀº ÃÖ°í 40mm ¾ÈÆÆÀÇ ºñ°¡ ³»¸®°Ú´Ù. À̹ø ÁÖ¸» ½Ç³» Àü½Ã °ø°£»Ó ¾Æ´Ï¶ó ...
»çȸ | 04-17 11:09
'¼Ò³ª¹« ¿¡ÀÌÁî' Àç¼±Ãæº´ ¼¿ï ³²»ê¼ È®ÀΡ¦±ä±Þ¹æÁ¦
'¼Ò³ª¹« ¿¡ÀÌÁî' Àç¼±Ãæº´ ¼¿ï ³²»ê¼ È®ÀΡ¦±ä±Þ¹æÁ¦ (¼¿ï=¿¬ÇÕ´º½º) ȲÈñ°æ ±âÀÚ = '¼Ò³ª¹« ¿¡ÀÌÁî'¶ó ºÒ¸®´Â Àç¼±Ãæ(î§àÊõù)º´¿¡ °É¸° ¼Ò³ª¹« 1ÁÖ°¡ ¼¿ï½Ã ¿ë»ê±¸ ³²»ê¿¡¼ ¹ß°ßµÅ ½Ã ´ç±¹ÀÌ 17ÀÏ ±ä±Þ¹æ...
»çȸ | 04-17 11:09
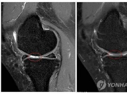
"ÀÚ°¡Áö¹æ¼¼Æ÷ À̽Ä, ÅðÇ༺°üÀý¿°¿¡ È¿°ú"
"ÀÚ°¡Áö¹æ¼¼Æ÷ À̽Ä, ÅðÇ༺°üÀý¿°¿¡ È¿°ú" (¼¿ï=¿¬ÇÕ´º½º) ÇѼº°£ ±âÀÚ = ÀÚ½ÅÀÇ Áö¹æÁ¶Á÷¿¡¼ äÃëÇÑ ÀÚ°¡Áö¹æ¼¼Æ÷ À̽ÄÀÌ ÅðÇ༺ °üÀý¿° Ä¡·á¿¡ È¿°ú°¡ ÀÖ´Ù´Â ¿¬±¸°á°ú°¡ ³ª¿Ô´Ù. ¼¼Æ÷Ä¡·á¡¤¸é¿ª¿ä¹ý ...
»çȸ | 04-17 11:09
½ºÅ¸¹÷½º ¿ìÀ¯Ä·ÆäÀÎ Àû¸³±Ý 1¾ï¿ø ³«³ó°¡¿¡
½ºÅ¸¹÷½º ¿ìÀ¯Ä·ÆäÀÎ Àû¸³±Ý 1¾ï¿ø ³«³ó°¡¿¡ (¼¿ï=¿¬ÇÕ´º½º) ½ÅÈ£°æ ±âÀÚ = ½ºÅ¸¹÷½º°¡ ¿ìÀ¯¼Òºñ ÃËÁø Ä·ÆäÀÎÀ» ÅëÇØ ¸ðÀº 1¾ï¿øÀÇ ±â±ÝÀ» 17ÀÏ Çѱ¹³«³óÀ°¿ìÇùȸ¿¡ Àü´ÞÇß´Ù. ½ºÅ¸¹÷½º´Â Áö³ 2¿ùºÎÅÍ ¿ì...
±â¾÷/»ê¾÷ | 04-17 11:08
<ÁÖ¸»¿¡ °¡º¼ ¸¸ÇÑ °÷: °¿ø±Ç>
ÁÖ¸» ºø¹æ¿ï¡¦"²ÉÀ¸·Î ¹°µç È£¼ö µû¶ó ´Þ·Á¿ä" (Ãáõ=¿¬ÇÕ´º½º) °Àº³ª·¡ ±âÀÚ = °¿øµµ´Â ±¸¸§ÀÌ ³¤ °¡¿îµ¥ ºø¹æ¿ïÀÌ ¶³¾îÁö´Â °÷ÀÌ ÀÖ°Ú´Ù. ±×·¯³ª °¼ö·®ÀÌ ¸¹Áö ¾Ê¾Æ ¾ß¿ÜȰµ¿¿¡´Â ÁöÀåÀÌ ¾ø°Ú´Ù. ...
±â¾÷/»ê¾÷ | 04-17 11:07
LG ¿Ã·¹µå TV¿¡ À¯·Â IT ¸Åü È£Æò À̾îÁ®
LG ¿Ã·¹µå TV¿¡ À¯·Â IT ¸Åü È£Æò À̾îÁ® (¼¿ï=¿¬ÇÕ´º½º) ¹Ú´ëÇÑ ±âÀÚ = LGÀüÀÚ[066570] ¿Ã·¹µå(OLED) TVÀÇ ¾ÐµµÀûÀÎ ÈÁú¿¡ ´ëÇØ À¯·Â Á¤º¸±â¼ú(IT) ¸ÅüÀÇ È£ÆòÀÌ À̾îÁö°í ÀÖ´Ù. 17ÀÏ LGÀüÀÚ µî¿¡ µû...
±³À° | 04-17 11:06
¿ìÅ©¶óÀ̳ª¼ Ä£·¯ ¼ºÇâ ¾ð·ÐÀΡ¤ÀüÁ÷ ÀÇ¿ø ÇÇ»ì
¿ìÅ©¶óÀ̳ª¼ Ä£·¯ ¼ºÇâ ¾ð·ÐÀΡ¤ÀüÁ÷ ÀÇ¿ø ÇÇ»ì (¼¿ï=¿¬ÇÕ´º½º) °í¹ÌÇý ±âÀÚ = ¿ìÅ©¶óÀ̳ª ¼öµµ Ű¿¹ÇÁ¿¡¼ Ä£(öÑ)·¯½Ã¾Æ ¼ºÇâÀÇ ¾ð·ÐÀΰú ÀüÁ÷ ÀÇ¿øÀÌ ÀÕµû¶ó »ìÇØµÆ´Ù. 16ÀÏ(ÇöÁö½Ã°£) AP¡¤AFP¡¤UPI ...
| 04-17 11:06
¹ÚÁø¿µ JYP¿£ÅÍÅ×ÀÎ¸ÕÆ® ´ëÇ¥ ÇÁ·Îµà¼°¡ 9ÀÏ ´ëÅë·É Á÷¼Ó ´ëÁß¹®È±³·ù...
°¡¼ö À¯½ÂÁØ(48¡¤¹Ì±¹ À̸§ ½ºÆ¼ºê ½ÂÁØ À¯)¾¾ÀÇ ºñÀÚ ¹ß±ÞÀ» µÑ·¯½Ñ ¼¼ ¹øÂ°...
±×·ì ¹æÅº¼Ò³â´Ü(BTS) ¸â¹ö Àü¿øÀÇ ±º º¹¹« Á¾·á¿Í Àç°áÇÕ¿¡ ¿Ü...
ȸ»ñµ· 43¾ï¿øÀ» Ⱦ·ÉÇÑ ÇøÀÇ·Î ±â¼ÒµÈ ¹è¿ì ȲÁ¤À½ÀÌ Àç»êÀ» óºÐÇØ ...
°æÂûÀÌ ½ÅûÇÑ ¹æ½ÃÇõ ÇÏÀ̺ê ÀÇÀåÀÇ ÀÚº»½ÃÀå¹ý À§¹Ý ÇøÀÇ¿Í °ü·ÃÇÑ ...
»óÈ£: ¿µ³²¸ÅÀϽŹ®(ÁÖ) | »ç¾÷ÀÚµî·Ï¹øÈ£: 506-81-85807 | ´ëÇ¥: °È£¼º | ½Å¹®µî·Ï¹øÈ£ : ºÎ»ê °¡00021 / ÀÎÅͳݽŹ®µî·Ï¹øÈ£ : ºÎ»ê, ¾Æ00272
ÀüÈ: 051-867-3909 | ÆÑ½º: 051-861-3463 | ÁÖ¼Ò: ºÎ»ê±¤¿ª½Ã ¿¬Á¦±¸ Áß¾Ó´ë·Î 1111, 1701È£ (¿¬»êµ¿, À§µåŸ¿ö)
copyright ¨Ï 2015 newsyn.co.kr All right reserved. | web@newsyn.co.kr