Áñ°Üã±âÃß°¡2025.11.04 ±â»óûGO

¡°µÇµµ ¾Ê´Â °É ±â¼Ò, ¹«ÁË ¶© »ó¼Ò¡¦°Ë»çµéÀÌ ±¹¹Î¿¡ °íÅë Áش١±
¿øº»º¸±â¡°°ËÂû, ÀÚ±âÆíÀº ÁË ¸íÈ®ÇØµµ ºÁÁࡱ ÀÌÀç¸í ´ëÅë·ÉÀÌ 30ÀÏ ¼¿ï ¿ë»ê ´ëÅë·É½Ç¿¡¼ ¿¸° ±¹¹«È¸ÀÇ¿¡¼ ¹ß¾ðÇϰí ...

Çѱ¹ ¹æ¹® Áß±¹ÀÎµé ¡°¡®¼¿ïº´¡¯ °É·È´Ù¡± ¿À¿¡¦¿Ô´Ù °¡¸é ¹«Á¶°Ç °É¸°´Ù´Âµ¥
¿øº»º¸±âÇÑ Áß±¹Àμ¿ï½Å¹®±¸µ¶ÁÖ¿ä´º½ºÀ̽´Á¤Ä¡»çȸ¼¼°è°æÁ¦»ýȰITŬ¸³½Å¹®º¸±â»ç¼³/Ä®·³»ýÁß°è·©Å·PICK ¾È³»Çѱ¹ ¹æ¹® Áß...

¹Ý¾áÆ®¸® ÈÀç »ç°Ç ù °øÆÇ¼ ¿ø¡¤ÇÏû ¸ðµÎ ¡°ÇøÀÇ ºÎÀΡ±
28ÀÏ ºÎ»êÁö¹ý µ¿ºÎÁö¿ø¼ ¿·Á½Ã¹Î´Üü ¡°¾öÁ¤ÇÑ ¹ý ÁýÇà Çʿ䡱¿øº¸±â¹Ý¾áÆ®¸® º¹ÇÕ¸®Á¶Æ® ½ÅÃà °ø»çÀå¿¡¼ ÈÀç°¡ ¹ß»ý, ºÒ±æ...

BTS Á¤±¹ 84¾ï »©°£ ÇØÅ·¹ü¡¦´ë±â¾÷ ȸÀå µ·µµ Åоú´Ù
¿øº»º¸±âBTSÀÇ Á¤±¹ [·ÎÀÌÅÍ][Çì·²µå°æÁ¦=±è¼ºÈÆ ±âÀÚ] ±×·ì ¹æÅº¼Ò³â´Ü(BTS) Á¤±¹°ú ´ë±â¾÷ ȸÀå µî Àç·Â°¡µéÀÇ °³ÀÎÁ¤º¸...
°ñµçºê¸´Áö, NPL ·¦¾îÄ«¿îÆ® »óǰ Ãâ½Ã
°ñµçºê¸´Áö, NPL ·¦¾îÄ«¿îÆ® »óǰ Ãâ½Ã ¡ã °ñµçºê¸´ÁöÅõÀÚÁõ±ÇÀº °³ÀÎȸ»ý°ú ½Å¿ëȸº¹Ã¤±Ç µîÀÇ ºÎ½Çä±Ç(NPL¡¤Non Performing Loan)¿¡ ÅõÀÚÇÏ´Â 'GB NPL Tranche ·¦¾îÄ«¿îÆ®(wrap-account)' »óǰÀ» Ãâ½ÃÇß´Ù...
±³À° | 04-17 11:21
ÇѰ»ç¶û ÀÚÀü°Å ¾ÈÀü ÁöÅ´ÀÌ ¹ß´ë½Ä
ÇѰ»ç¶û ÀÚÀü°Å ¾ÈÀü ÁöÅ´ÀÌ ¹ß´ë½Ä (¼¿ï=¿¬ÇÕ´º½º) ȲÈñ°æ ±âÀÚ = ¼¿ï½Ã´Â 17ÀÏ ¿ÀÈÄ ÇѰ»ç¾÷º»ºÎ¿¡¼ 'ÇѰ»ç¶û ÀÚÀü°Å ¾ÈÀü ÁöÅ´ÀÌ' ¹ß´ë½ÄÀ» ¿¬´Ù. ¾ÈÀü ÁöÅ´ÀÌ´Â ÇѰ°ø¿ø ³» ¾ÈÀüÇÑ ÀÚÀü°Å Ÿ±â ...
»çȸ | 04-17 11:18
<¼îÇÎÁ¤º¸> ȨÇ÷¯½º ¾ÆÀ̽ºÇ÷£Æ®¡¤¹Ì´Ï¾ç¹èÃß ÀüÁ¡ ÆÇ¸Å
ȨÇ÷¯½º ¾ÆÀ̽ºÇ÷£Æ®¡¤¹Ì´Ï¾ç¹èÃß ÀüÁ¡ ÆÇ¸Å (¼¿ï=¿¬ÇÕ´º½º) ÀÌÀ¯¹Ì ±âÀÚ = ȨÇ÷¯½º°¡ ÀϺΠÁ¡Æ÷¿¡¼¸¸ ÆÇ¸ÅÇÏ´ø ±â´É¼º ä¼Ò ¾ÆÀ̽º Ç÷£Æ®¿Í ¹Ì´Ï ¾ç¹èÃ߸¦ ÀüÁ¡À¸·Î È®´ë ÆÇ¸ÅÇÑ´Ù°í 17ÀÏ ¹àÇû´Ù. ...
±³À° | 04-17 11:12
<ÁÖ¸»¿¡ °¡º¼ ¸¸ÇÑ °÷: È£³²±Ç>
ÁÖ¸» ºñ ÃÖ°í 40mm ¾ÈÆÆ¡¦'¸¶À½ Àû½Ã´Â' ¿¹¼ú ÀÛǰÀ» ¸¸³ª´Ù (±¤ÁÖ=¿¬ÇÕ´º½º) À徯¸§ ±âÀÚ = 4¿ù ¼Â° ÁÖ¸»ÀÎ 18~19ÀÏ È£³²Áö¿ªÀº ÃÖ°í 40mm ¾ÈÆÆÀÇ ºñ°¡ ³»¸®°Ú´Ù. À̹ø ÁÖ¸» ½Ç³» Àü½Ã °ø°£»Ó ¾Æ´Ï¶ó ...
»çȸ | 04-17 11:09
'¼Ò³ª¹« ¿¡ÀÌÁî' Àç¼±Ãæº´ ¼¿ï ³²»ê¼ È®ÀΡ¦±ä±Þ¹æÁ¦
'¼Ò³ª¹« ¿¡ÀÌÁî' Àç¼±Ãæº´ ¼¿ï ³²»ê¼ È®ÀΡ¦±ä±Þ¹æÁ¦ (¼¿ï=¿¬ÇÕ´º½º) ȲÈñ°æ ±âÀÚ = '¼Ò³ª¹« ¿¡ÀÌÁî'¶ó ºÒ¸®´Â Àç¼±Ãæ(î§àÊõù)º´¿¡ °É¸° ¼Ò³ª¹« 1ÁÖ°¡ ¼¿ï½Ã ¿ë»ê±¸ ³²»ê¿¡¼ ¹ß°ßµÅ ½Ã ´ç±¹ÀÌ 17ÀÏ ±ä±Þ¹æ...
»çȸ | 04-17 11:09
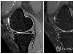
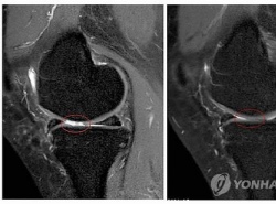
"ÀÚ°¡Áö¹æ¼¼Æ÷ À̽Ä, ÅðÇ༺°üÀý¿°¿¡ È¿°ú"
"ÀÚ°¡Áö¹æ¼¼Æ÷ À̽Ä, ÅðÇ༺°üÀý¿°¿¡ È¿°ú" (¼¿ï=¿¬ÇÕ´º½º) ÇѼº°£ ±âÀÚ = ÀÚ½ÅÀÇ Áö¹æÁ¶Á÷¿¡¼ äÃëÇÑ ÀÚ°¡Áö¹æ¼¼Æ÷ À̽ÄÀÌ ÅðÇ༺ °üÀý¿° Ä¡·á¿¡ È¿°ú°¡ ÀÖ´Ù´Â ¿¬±¸°á°ú°¡ ³ª¿Ô´Ù. ¼¼Æ÷Ä¡·á¡¤¸é¿ª¿ä¹ý ...
»çȸ | 04-17 11:09
LG ¿Ã·¹µå TV¿¡ À¯·Â IT ¸Åü È£Æò À̾îÁ®
LG ¿Ã·¹µå TV¿¡ À¯·Â IT ¸Åü È£Æò À̾îÁ® (¼¿ï=¿¬ÇÕ´º½º) ¹Ú´ëÇÑ ±âÀÚ = LGÀüÀÚ[066570] ¿Ã·¹µå(OLED) TVÀÇ ¾ÐµµÀûÀÎ ÈÁú¿¡ ´ëÇØ À¯·Â Á¤º¸±â¼ú(IT) ¸ÅüÀÇ È£ÆòÀÌ À̾îÁö°í ÀÖ´Ù. 17ÀÏ LGÀüÀÚ µî¿¡ µû...
±³À° | 04-17 11:06
¿ìÅ©¶óÀ̳ª¼ Ä£·¯ ¼ºÇâ ¾ð·ÐÀΡ¤ÀüÁ÷ ÀÇ¿ø ÇÇ»ì
¿ìÅ©¶óÀ̳ª¼ Ä£·¯ ¼ºÇâ ¾ð·ÐÀΡ¤ÀüÁ÷ ÀÇ¿ø ÇÇ»ì (¼¿ï=¿¬ÇÕ´º½º) °í¹ÌÇý ±âÀÚ = ¿ìÅ©¶óÀ̳ª ¼öµµ Ű¿¹ÇÁ¿¡¼ Ä£(öÑ)·¯½Ã¾Æ ¼ºÇâÀÇ ¾ð·ÐÀΰú ÀüÁ÷ ÀÇ¿øÀÌ ÀÕµû¶ó »ìÇØµÆ´Ù. 16ÀÏ(ÇöÁö½Ã°£) AP¡¤AFP¡¤UPI ...
| 04-17 11:06
¼û°í¸£±â µé¾î¼± ÄÚ½ºÇÇ, »õ ¿ª»ç¿¡ µµÀüÇÒ±î
¼û°í¸£±â µé¾î¼± ÄÚ½ºÇÇ, »õ ¿ª»ç¿¡ µµÀüÇÒ±î "°¼¼Àå È帧¿£ º¯È¾ø¾î"¡¦Áõ±Ç¾÷°è 2,150~2,250 Àü¸Á (¼¿ï=¿¬ÇÕ´º½º) ÀåÇϳª ±âÀÚ = '¹Ú½ºÇÇ'(¹Ú½º±Ç+ÄÚ½ºÇÇ)ÀÇ ¿À¸íÀ» ¹þ¾î´øÁö°í ½Â½ÂÀ屸ÇÏ´ø ÄÚ½ºÇǰ¡ 17...
±³À° | 04-17 11:06
<ÁÖ¸»¿¡ °¡º¼ ¸¸ÇÑ °÷: ÃæÃ»±Ç>
ÀÏ¿äÀÏ È帮°í ºñ¡¦Å¾ȿ£ 'Æ«¸³ Ȱ¦', ¼ö¾Èº¸¿£ '¿Âõ ÃàÁ¦' (´ëÀü¡¤Ã»ÁÖ=¿¬ÇÕ´º½º) ±èÇü¿ì ±è¼Ò¿¬ ±âÀÚ = 4¿ù ¼¼ ¹øÂ° ÁÖ¸»ÀÎ 18~19ÀÏ ÃæÃ»±ÇÀº ±¸¸§ÀÌ ¸¹ÀÌ ³¢´Ù°¡ ÀÏ¿äÀÏ¿¡ ºñ°¡ ¿À°Ú´Ù. 'ÅÂ¾È Æ«¸³Ãà...
»çȸ | 04-17 11:03
¹ÚÁø¿µ JYP¿£ÅÍÅ×ÀÎ¸ÕÆ® ´ëÇ¥ ÇÁ·Îµà¼°¡ 9ÀÏ ´ëÅë·É Á÷¼Ó ´ëÁß¹®È±³·ù...
°¡¼ö À¯½ÂÁØ(48¡¤¹Ì±¹ À̸§ ½ºÆ¼ºê ½ÂÁØ À¯)¾¾ÀÇ ºñÀÚ ¹ß±ÞÀ» µÑ·¯½Ñ ¼¼ ¹øÂ°...
±×·ì ¹æÅº¼Ò³â´Ü(BTS) ¸â¹ö Àü¿øÀÇ ±º º¹¹« Á¾·á¿Í Àç°áÇÕ¿¡ ¿Ü...
ȸ»ñµ· 43¾ï¿øÀ» Ⱦ·ÉÇÑ ÇøÀÇ·Î ±â¼ÒµÈ ¹è¿ì ȲÁ¤À½ÀÌ Àç»êÀ» óºÐÇØ ...
°æÂûÀÌ ½ÅûÇÑ ¹æ½ÃÇõ ÇÏÀ̺ê ÀÇÀåÀÇ ÀÚº»½ÃÀå¹ý À§¹Ý ÇøÀÇ¿Í °ü·ÃÇÑ ...
»óÈ£: ¿µ³²¸ÅÀϽŹ®(ÁÖ) | »ç¾÷ÀÚµî·Ï¹øÈ£: 506-81-85807 | ´ëÇ¥: °È£¼º | ½Å¹®µî·Ï¹øÈ£ : ºÎ»ê °¡00021 / ÀÎÅͳݽŹ®µî·Ï¹øÈ£ : ºÎ»ê, ¾Æ00272
ÀüÈ: 051-867-3909 | ÆÑ½º: 051-861-3463 | ÁÖ¼Ò: ºÎ»ê±¤¿ª½Ã ¿¬Á¦±¸ Áß¾Ó´ë·Î 1111, 1701È£ (¿¬»êµ¿, À§µåŸ¿ö)
copyright ¨Ï 2015 newsyn.co.kr All right reserved. | web@newsyn.co.kr