"81%´Â ¸¸¼ºÁúȯÀ¸·Î Á״µ¥¡¦¿¹¹æ¡¤°ü¸®´Â ¹ÌÈí"
±âÃʰúÇÐæÚ-õ¹®æÚ, õ¹®¿ìÁÖ ¿¬±¸¡¤Àη¾缺 Çù·Â
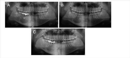
ÀÕ¸ö»À ¾ø´Â ȯÀÚ¿¡°Ô ÀÚ°¡Ä¡¾Æ ÀÌ½Ä ¼º°ø
°¶³ëÆ®5¡¤°¶S6¿§Áö+ Ãâ½Ã¡¦»ï¼ºÆäÀ̵µ 'µ¿¹Ý Ãâ°Ý'(Á¾ÇÕ2º¸)
Áö±¸¼ 18±¤³â ¶³¾îÁø °÷¿¡¼ žç°è ¹Û ù ¿À·Î¶ó ¹ß°ß